WFU

網站頁籤

2023年12月31日 星期日

缺鐵性貧血

 

作者: 裴松南醫師

日期:2023/1/27


貧血是血液科最常見的問題,不論年紀大小都可能有這樣的困擾。我們常知的貧血表現包括了疲倦、頭暈、易累及活動性喘等,有了這些症狀,醫師就會檢驗我們是否有貧血,在一份血液常規檢驗中(如表一),我們第一個要看的是血紅素(Hb or Hemoglobin),如果男性小於13.5 g/dL,女性小於12.0 g/dL,我們就定義為貧血。


而貧血當中最常見的就是缺鐵性貧血,它同時也是血液科門診最常見的良性疾病。通常年輕女性走進診間,帶著公司或學校的體檢報告來詢問貧血,大部分都是缺鐵性貧血。報告上面除了血紅素不足外,還可以看到紅血球變小,這是指血球大小(MCV)小於80(正常值為80-100)如表一所示,這時候只要加上鐵蛋白(ferritin)的檢測(這是檢測體內鐵庫存的指標),若鐵蛋白小於45 ng/mL,就可以診斷為缺鐵性貧血。



表一、20歲女性,無過去病史,首次到血液科門診之血液常規報告,可見血紅素不足且紅血球變小(MCV < 80),符合缺鐵性貧血的表現。


第一個找出血

確定缺鐵性貧血後,我們第一件事就是了解有無出血的狀況,在年輕婦女最常見的是因為月經的慢性流失而導致;另外也要小心有無腸胃道出血,除了常見的胃潰瘍外,我們最擔心的是腸胃道腫瘤,大腸癌已蟬聯多年的癌王,且大腸癌在年輕人也不少見,所以我都會做糞便的檢查,確定有沒有腸胃道的出血,如果有潛血反應或者是病人合併體重減輕、腸胃不適等症狀,我就會再安排大腸鏡+/-胃鏡,來確定沒有腫瘤。另外不太常見的是泌尿道出血,如膀胱癌或慢性腎炎,也可能導致貧血,但尿液外觀上不一定看得出來,需要做尿液檢驗看有無紅血球在尿液中。確定沒有異常出血後,就可以把缺鐵的原因歸給月經的流失。

治療與衛教

治療很簡單,就是補充鐵劑,一天兩次空腹服用,大多數人都可以在數周內得到明顯的進步。但鐵劑可能造成胃部不適,敏感的人甚至會嘔吐,這時候就可以改為飯後服用,雖然吸收差一些,但還是會有幫忙。少數真的無法耐受口服鐵劑的人,就考慮靜脈注射,但要小心的是極少數的人會有過敏性休克的副作用,另外打針必須在醫院內執行,相對不方便。貧血症狀很厲害時,也可以用輸血來緩解,但畢竟是陌生人的血,還是有一定的風險。

人類沒有自然排鐵的機制,所以鐵不足一定來自於流失,不管是生理性的月經或是病理性的出血。飲食的影響在於是否能夠充分的補充我們因各種原因所流失的鐵質,而非主因。人類對於植物性鐵的吸收其實不佳,所以素食者較易有缺鐵的問題;同樣的,我們常用來補血的櫻桃、蘋果、紅龍果,其實效果也都很有限。倒是牛肉、豬肝等動物性鐵是吸收較好的。不過從醫師的角度而言,飲食習慣不易改變,而且有些人不吃牛,有些人不吃內臟,所以最簡單的方法還是長期補充鐵劑,就把它當營養食品不要當藥物,接受度就高了。那「要吃多久呢?」答案是吃到停經或是鐵蛋白足夠為止。我跟瑞士蘇黎世理工大學(ETH)合作發現,體內有個基因(TMPRSS6) 會影響鐵的吸收,所以有些人的鐵吸收就是差一些而導致無法充分補充月經的流失。這時就可以利用鐵劑的補充來克服,就算先天對於鐵的吸收比例差一些,可是因鐵劑中含有比食物中還要多的鐵,總吸收量可以增加而補足月經的流失。在補充鐵劑時,建議定期檢測鐵蛋白,以防止過度補充造成副作用。

另外,大家常問的還有「那我可不可以喝咖啡、可不可以喝茶?」我都回答「可以,不然叫你不喝受得了嗎?」,因為雖然咖啡及茶會影響鐵的吸收,但是缺鐵性貧血,尤其是月經造成的族群,是屬於慢性的失衡,一定要找可以長期執行的方法,而非去改變我們已固定的生活方式。

缺鐵性貧血雖不會致命,但會使我們缺乏元氣,只要一個小小的鐵劑就可以找回我們的元氣與活力喔!


我們和瑞士的跨國研究發表了!

台灣也會有營養不良?

#原文發表於2023年5月出刊之義大醫訊

參考資料
Buerkli S, Pei SN, etc. The TMPRSS6 variant (SNP rs855791) affects iron metabolism and oral iron absorption – a stable iron isotope study in Taiwanese women. Haematologica 2021;106:2897-2905. 


2023年12月3日 星期日

自體造血幹細胞移植簡介


作者:義大癌治療醫院 血液腫瘤部 蔡郁棻醫師

原著日期:2023/2/12


造血幹細胞移植

首先,解釋一下何謂『造血幹細胞』,造血幹細胞是骨髓中最早、最原始尚未完全分化的細胞,它同時具有分裂增殖成及分化為特定功能細胞的兩種特性。隨著骨髓中造血幹細胞的成熟,它會分化形成三種血球細胞:白血球、紅血球及血小板。因此,將造血幹細胞植入體內,即能複製分化生長出各類血球細胞,而用來治療許多血液疾病,這就是造血幹細胞移植的由來。


現今移植用的造血幹細胞其來源不限於骨髓,周邊血液及胎盤臍帶血均可收集足量的幹細胞供移植用,其中周邊血液幹細胞為目前最常使用的來源,原因包括過程較容易採集、移植後血球恢復速度快。而造血幹細胞移植依親屬性來源又可分異體與自體造血幹細胞移植。異體造血幹細胞移植,顧名思義就是幹細胞取自於他人;而自體造血幹細胞移植的幹細胞則是來自於患者本身,將病人治療後的幹細胞先抽取並儲存,當時機成熟時,再回輸至體內達重建造血功能。


在此我們將專注於自體造血幹細胞移植的介紹,目前自體造血幹細胞移植最常見的適應症為淋巴癌及多發性骨髓瘤,尤其在多發性骨髓瘤的患者,若醫師評估患者的身體及年齡適合移植,在第一線治療後皆建議施行自體造血幹細胞移植,以期大幅控制疾病並延長患者存活時間。



自體造血幹細胞移植團隊


自體造血幹細胞移植的流程

自體造血幹細胞移植的步驟如下:

壹、 收集自體造血幹細胞:首先,在正式開始自體造血幹細胞移植前,第一件最重要的事情,就是收集患者自己的幹細胞,目前在台灣自體造血幹細胞移植的幹細胞來源幾乎都是使用周邊血液幹細胞,因此,患者須先施打造血生長因子來刺激周邊血液幹細胞的生成,進而利用血球分離機將幹細胞分離出來收集而得,需收集到一定數量的幹細胞,才能進行下一步的自體造血幹細胞移植,因此,能否收到足量的造血幹細胞是決定是否能進行自體造血幹細胞移植的重要因子之一。

貳、 移植前調適治療:通常是化學藥物治療,這個過程中的主要目的是

(一)殺死身上殘留的癌細胞

(二)製造一個適合新輸入幹細胞的生長空間

由於移植前調適治療的高劑量化學治療會造成白血球迅速下降,所以病人必須接受保護性隔離,即入住保護性隔離病室。

參、 輸注週邊血液幹細胞:在輸注前30分鐘,為了減少噁心、嘔吐、過敏等反應,醫師會給予病人使用止吐及抗過敏藥劑,而輸注造血幹細胞就如同一般的輸血方式,在輸注過程中病人可能會出現到臉色潮紅、噁心、嘔吐、胸悶、呼吸困難等副作用,在輸注過程中需密集監測患者的體溫、脈搏、呼吸及血壓及病人狀況,必要時給予適當處置。

肆、 等待血球恢復:此為移植的最後階段,在等待血球恢復的過程中,可能會因血球低下而造成免疫力下降而容易造成感染或出血等風險。


從接受移植前調適治療到血球恢復的時間,一般來說需三到四週的住院時間,目前健保有給付大部分自體造血幹細胞移植的費用,僅少數的藥物和檢測方面需要自費負擔。


自體造血幹細胞移植的副作用

其副作用主要有以下幾點:

一、 移植前調適治療的副作用:化學治療除了會抑制體內腫瘤細胞生長外,亦會對快速生長的正常細胞造成傷害,故可能出現以下幾種副作用:

    A. 可能造成口腔、喉嚨、食道發炎潰瘍與疼痛,因此會覺得吞嚥困難、疼痛及胸部灼熱感,需維持良好的口腔衛生,必要醫師會用藥減輕症狀之不適。

    B. 腸胃道方面,常見有噁心、嘔吐或腹瀉等症狀,可使用止吐、及止瀉劑來緩解。

    C. 某些化學藥物的代謝物會經由尿道排出,刺激膀胱有可能會造成『出血性膀胱炎』,故需注射大量的輸液並使用藥物來減少『出血性膀胱炎』的發生。

二、 感染:當白血球下降過低時,感染的機率會大幅增加,常見的感染部位為: 

    A. 牙齦、口腔、肛門口及其周圍膿瘍

    B. 肺部呼吸道的感染

    C. 人工血管感染、皮膚傷口感染

    D. 腸胃道感染

    E. 泌尿道感染


為預防感染的發生,醫師在做自體造血幹細胞移植時,會適時投予抗細菌、抗黴菌、抗病毒等藥物做預防,這些預防並不表示即可免於感染。一旦發燒,會進一步抽血進行相關的檢查並收集相關的檢體做病原菌的培養,同時會注射強效的抗生素等藥物以治療感染問題。


自體造血幹細胞移植是一個較為複雜的治療方式,但對於多發性骨髓瘤及特定淋巴癌患者能大幅增加疾病的緩解率及延長病患存活的時間。在治療階段需要家屬及醫護團隊的共同合作才能讓患者平安度過此治療,雖然有一定的風險,但在現今新藥物及良好的醫療照護品質下,絕大多數的患者都能順利完成自體造血幹細胞移植。因此,希望藉由此篇的介紹能讓大眾對於此自體造血幹細胞移植有初步的認識,不要因不了解造成過度的擔憂害怕而延誤治療的黃金期。



2023年11月28日 星期二

防癌險保多少才夠?


作者:裴松南

日期:2023/11/28


目前愈來愈多人了解到健保給付已經完全跟不上現在癌症新藥的發展,進而想尋求商業保險的保障,但首先我們最想知道的是「到底保多少才夠」?

要回答這個問題,必須先知道目前癌症標靶的治療模式分為兩大類,第一種是固定治療期限,例如淋巴癌的治療大多是會訂出6 cycles or 12 cycles;第二種是治療到疾病惡化(產生抗藥性)為止 ,例如骨髓瘤的治療即是如此,沒有期限。如果是第二種狀況,很抱歉,除了早期的實支實付,而且你保了很高的額度,不然目前的險種幾乎沒有辦法cover這樣的花費,壽險公司也因為不容易精算出這樣的支出,所以短期內看不到這樣的產品(如果有,趕快告訴我!)

第一類狀況(固定治療期限),我們以淋巴瘤的一些新藥為例,讓大家瞭解一下目前藥廠的訂價水準。CAR-T(免疫細胞治療)自費價在1000萬左右;雙特異性抗體(Glofitamab)完成全部12個療程自費價至少455萬;載藥抗體(polatuzumab vedotin)6個療程至少要280萬。看到這裡,大部分人應該都覺得貧窮限制了自己的想像吧!

但當你的嘴巴在驚訝過後逐漸合起來時,可以做兩件事。第一,趕快檢視自己的保單,了解缺口,在能力可及的範圍內,將缺口縮小,最近有看到一些產險保單,試著補足第一類狀況的缺口;第二,在下次健保要調整保費時,不僅不要反對,還要大聲喊要加碼,唯有將健保的支出提高,才有財源來給付這些新的治療。千萬不要停留在十年前健保好棒棒的舊思維中,除非你願意你的醫療水平也停留在10年前。

#健保有感系列1

2023年7月23日 星期日

骨髓增生腫瘤(MPN)簡介

 

作者:裴松南醫師
完成日期:2023-6-26
修改日期:2023-7-25


大部分人對於血球減少的疾病較為熟悉,如貧血就是紅血球減少,紫斑症就是血小板減少。但血液科也有另一群病人是困擾於血球過多,今天就來簡單介紹一下「這群」疾病。



圖一、骨髓增生腫瘤MPN的分類與基因


骨髓增生腫瘤(Myeloproliferative Neoplasm, MPN)是一群罕見的血液疾病,主要特點是骨髓內造血細胞的異常增生。發病原因是骨髓裏的剎車基因突變壞掉了,使得造血機能無法停下來,而生成了過多的血球。依照臨床及病理上的表現分為以下幾種:

1. 多血症(Polycythemia vera, PV):顧名思義,是紅血球的過度生產,患者的血紅素很高(男生常在18、女生常在16以上)。病人常常臉色潮紅,就像是喝酒後那樣,也真的有一些病人因此常常被警察攔下酒測。另外常見的症狀是皮膚癢,尤其是洗完澡後更癢,吃抗組織胺效果都不好,頗影響生活品質。 也有一部分人是發生中風後才發現原來有多血症。

2. 原發性血小板增多症(Essential thrombocythemia, ET):表現為血小板的數值過高。不一定有症狀,常常是體檢意外驗到的。年紀從青少年到老人家都有喔!

3. 原發性骨髓纖維化(Primary myelofibrosis, PMF):發生率較前兩種少,血相會呈現白血球較高伴隨不成熟白血球出現以及貧血,另外因骨髓纖維化,導致「髓外造血」,就是造血系統轉移到脾臟,會導致脾臟腫大,有些還伴隨著發燒與體重減輕,是比較難處理的狀況。

另外還有一個病是慢性骨髓性白血病(chronic myeloid leukemia, CML),主要是白血球增加很多,本來也被放在MPN家族的,但是因為它的機轉和治療完全不一樣,所以目前已經被獨立出來,就不再這裡討論了。


致病機轉:
MPN的致病機轉主要與骨髓內幹細胞的突變有關。這些突變會影響細胞的信號傳遞機制,也就是調控細胞分裂的剎車壞掉了,導致細胞過度增生和分化。其中最常見的突變包括JAK2、CALR和MPL這三個基因的異常,這種突變是後天不明原因所造成,不會遺傳喔!

臨床表現:
MPN的臨床表現因疾病的類型而有所不同。一般而言,患者可能出現以下症狀:

疲勞和虛弱感
貧血
骨痛和關節疼痛
脾臟、肝臟腫大
皮膚搔癢
血栓形成或出血不正常




圖二是一個多血症的女病人,她第一次來看我的時候,血紅素高達21.1 g/dL(正常女生是12-16 g/dL),手指都因充血而呈現發紺的現象呢!

病程、主要併發症及預後:
MPN的病程依疾病而不同。原發性骨髓纖維化的病程較快,轉變到急性白血病的風險較高,約有20%的病人在10年內會變成所謂的血癌;多血症主要的問題是會造成血栓如中風,治療的目標在於降低血栓的風險,10年內變成血癌的風險約在4%;血小板增多症相對較少血栓或變成血癌的機會,治療上可以採取較保守的策略,預後一般來說較PMF或是PV好。

治療選擇:
治療MPN的選擇取決於疾病的分類、病情嚴重程度和患者的整體健康狀況。常見的治療方法包括:

放血:血太多就放血,這也是多血症的重要治療方式。
減少製造:吃藥讓血液的製造慢下來,常用的藥物為愛治膠囊(Hydrea),可以讓三種血球都下降。另外一個藥物是安閣靈(anagrelide),只會下降血小板。
干擾素:使用干擾素可以使這類的病人血球下降,但傳統干擾素因為副作用較大及健保沒有給付的關係,使用的病人不多。但2020年起,由台灣藥華公司研發的新型干擾素「百斯瑞明」取得各國的許可用於多血症的病人,副作用不大,且有機會減少上述突病基因的濃度,是深受血液科醫師注目的藥物,惟目前健保的給付條件過於嚴苛,大部分病人都還沒機會使用到這個台灣之光。
標靶藥物:JAK抑制劑,主要是用於骨髓纖維化,可以縮小脾臟及改善疲倦、體重減輕等症狀,但對疾病本身的病程並沒有太大的改變。
減少併發症的藥物:主要為抗血小板藥物,如阿斯匹靈或是保栓通,可以減少因MPN造成的中風等併發症。
造血幹細胞移植:在一些高風險或進展迅速的病例中考慮進行,也是目前唯一可以治癒該類疾病的治療。

結論:
骨髓增生腫瘤是一組不常見的血液疾病,包括PV、ET和PMF等。這些疾病因骨髓內幹細胞的基因突變,導致細胞的異常增生。治療方案因疾病類型和患者狀況而異,包括放血及吃藥或打針,幹細胞移植是唯一可以治癒的方法。


針對多血症,我打算另外再寫一篇專文介紹,也可以針對百斯瑞明這個台灣之光在做一些介紹。

#本文使用ChatGPT3.5協作

#感謝台大侯信安教授建議,正名MPN(myeloproliferative neoplasm)為骨髓增生腫瘤。這群疾病在2008年之前稱為MPD (myeloproliferative disorder),在2008年WHO第四版就正名為MPN,使用neoplasm (腫瘤)來正確的描述這群基因有異常,具有癌症特性的疾病。這類疾病像癌症一樣,具有不斷分裂且不受控制的特性;但比癌症好的是它仍有分化的能力,所產生出來的細胞仍有功能,不像血癌或是固態腫瘤,是屬於早期不分化的癌細胞,會造成其他器官的傷害。(2023-7-25)
 

多血症專論請點此


血太多怎麼辦?


作者:裴松南醫師

日期:2023-7-23

修改日期:2023-7-25


李先生,52歲,是一間板模公司的老闆,7年前注意到常滿臉通紅及皮膚搔癢的困擾,來醫院抽血發現血紅素高達19.5g/dL(正常男性為13.5-17.0),他並沒有抽菸喝酒的習慣,也沒有心臟或肺臟的問題,所以就到我的門診做了基因及骨髓的檢查,發現有JAK2V617F的突變,骨髓內也呈現多血症的典型表現,確立了診斷。在給予放血500cc治療後,他表示之前的脖子緊繃及手指脹麻的現象都瞬間消失了,不過還是困擾於皮膚搔癢。


多血症(Polycythemia vea)是骨髓增生腫瘤中的一個疾病,是因為後天基因突變所造成,JAK2這個基因負責造血活化,當它突變後,就彷彿煞車壞了,整個造血失去調控,造血大爆發,所以形成多血症。最常見的突變位點在V617F這個位置,占了95-97%的多血症,另外少數病人則是JAK2 exon 12的突變。


貧血的症狀大家很孰悉,但血太多會怎樣呢?

1. 臉潮紅,有些人會滿臉通紅像喝酒後那般;

2. 高血壓,血液太多在血管內會造成血壓升高,而且這種高血壓吃血壓藥降不太下來;

3. 易出血,體內血太多,它也會想要找出路流出來,所以容易有胃潰瘍出血,或是一有傷口也易流血不止;

4. 血栓,血太多也是一種血濁,容易栓塞,所以有些人是中風後才發現多血症;

5. 皮膚癢,尤其在洗澡後,原因不明,卻是大大地影響生活品質,且對於一般止癢藥的效果不好。


診斷: 

根據最新(2022)的International Consensus Classification的定義,診斷必須符合以下幾點:

1. 血紅素男生大於16.5 g/dL,女生大於16.0 g/dL

2. 有JAK2V617F或是JAK2 exon 12的突變

3. 骨髓檢查呈現血球過度增生的表現(hypercellularity with panmyelosis)

4. 血中EPO濃度低於正常範圍


典型的病人診斷上並不困難,但有一些“假的”多血症必須要小心,例如抽菸和睡眠中止症的人因為血中氧氣量常不足,所以骨髓會製造較多的紅血球來代償,形成假的多血症,這些人需要的是戒菸或是減重、戴正壓呼吸器等治療。


治療目標與方法:

多血症雖然廣義來說屬於癌症的一種,但它的病程相當緩慢,說它是慢性病更為適合。多血病的治療目標分為幾個方向:

1. 減少「血栓」併發症:尤其是中風。

  ※放血:作法就像去捐血中心捐血一樣,放血的目標為血比容小於45%。

  ※阿斯匹靈:每天80-100毫克,可以抑制血小板的功能來達到通血路的效果,但有些敏感的病人會有胃潰瘍的副作用,此時可考慮改為保栓通(clopidogrel)。

  ※避免血栓的危險因子:如控制血壓、血糖、血脂肪、避免抽菸等。

2. 控制血球數量:對於年紀大於60歲或是曾發生過血栓的病人,屬於血栓高危險群,光是阿斯匹靈及放血可能不太足夠,還要加上「愛治」(hydroxyurea)來降低血球的製造,尤其同時有白血球高的病人,因放血沒有辦法降低白血球,就需要合併吃藥來降低白血球以減低血栓風險。但「愛治」會干擾細胞合成,所以不適合用於年輕人或懷孕的婦女。另外,有些人會有口腔潰爛、皮膚變黑、傷口無法癒合、甚至於發燒或是肺發炎等症狀,雖然比例不高,但因無替代藥物,所以遇到也是很困擾。

3. 減少症狀:多血症造成的手指麻、血壓高及脖子緊的現象,可以經由放血快速改善,可是搔癢的問題卻是至今無解的困擾。

4. 延緩形成骨髓纖維化或急性骨髓性白血病的時程:多血症最嚴重的問題就是在經過多年的旺盛造血後,骨髓會秀逗,就是變成骨髓纖維化甚至於變成血癌,初步的變化就是貧血及脾腫大,本來需要放血的人,後來卻變成需要輸血。但目前沒有任何藥物被證實可以改變這個病程。


新藥露曙光

「百斯瑞明」(Ropeginterferon alpha-2b)是由台灣藥華醫藥發明的新型長效干擾素,已被美國FDA和歐盟EMA核准可以使用於多血症的病人,可以有效的降低過高的血球,也因為不直接影響細胞合成,所以沒有是否致癌的疑慮。也是唯一一個可以減少JAK2突變基因量的藥物,可能等觀察期間夠久,就可以證實可以改變這個疾病的病程,如果可以減少骨髓纖維化及血癌的發生,這將會是很大的突破。


上述的李先生,在診斷後長期(六年)接受放血及保栓通的治療,雖可保持良好的血比容數字,但搔癢及長期疾病轉變的壓力仍在,在「百斯瑞明」上市後,因其經濟狀況良好,所以自費注射「百斯瑞明」。只有在第一次注射後有點畏寒及頭暈,沒有其他副作用,但神奇的是困擾多時的搔癢竟然就改善了,其血球也很快的改善,也不再需要放血,如圖一。他目前已經接受「百斯瑞明」治療逾兩年的時間,其JAK2基因的量從打「百斯瑞明」前的99%下降到目前僅有20.6%,真的很神奇!圖二



圖一、白血球和血小板打完針後很快下降,血比容看似沒變,實則由每3個月放血一次變成不再需要放血。



圖二、血中致病基因的量在百斯瑞明治療後明顯下降。


但是「百斯瑞明」這個台灣之光,並沒有獲得偉大的健保特別的照顧,雖然於2022年9月起列入給付,但其條件之嚴苛,真的是令我覺得很生氣!這種看得到吃不到的感覺,真的比起都不給付還令人憤慨,感覺就只是在吃人豆腐的感覺。



圖三、失敗的Midjourney,本來想要畫一個滿臉通紅的台灣中年人,洗澡後皮膚搔癢,且有脖子緊繃及手指脹麻的現象,小腿上有一個流血中的小傷口。但是Midjourney怎麼都沒辦法劃出臉潮紅,更是沒法呈現搔癢或脖子緊繃的感覺,AI繪圖真的還是有相當大進步的空間!


總結,多血症是由基因突變所造成,而血栓併發症如中風是造成後遺症的最大問題,可以藉由放血、及吃藥(如阿斯匹靈及愛治)來減少機率,新藥百斯瑞明則可以減少突變的基因,可能可以減少長期變成骨髓纖維化或急性白血病的風險。

PS: 這些人的血因為有基因的異常,因此不建議去捐血給別人喔!


骨髓增生腫瘤的總論請點此連結

2023年5月21日 星期日

瀰漫性大B細胞淋巴癌


作者:裴松南

完成日期:2023/2/16 


淋巴癌是血液惡性病中最常見的一種,其病理分類依照細胞來源又大分為B細胞、T細胞、NK細胞及何杰金氏淋巴癌,而近一步的次分類更是超過四十種,相當的複雜。而其中最常見的一種就是「瀰漫性大B細胞淋巴癌」,英文是"Diffuse large B-cell lymphoma",這篇文章就來介紹一下這個相對常見的淋巴癌的診斷與治療。


首先先正名一下,淋巴瘤沒有良性的,所以在本篇文章中,我們都使用淋巴癌以免混淆。淋巴癌是由身體負責免疫系統的淋巴細胞癌化而成,它可以長在身體任何部位或器官,除了最常見的淋巴結腫大以外,也可以發生在腦部、胃腸、皮膚、眼睛等各個地方,行醫這麼久,除了頭髮和指甲外,大概什麼部位的淋巴癌都遇過。


因為什麼部位都可以長,所以臨床上沒有固定的症狀或表現方式,端視所長部位而定,長在腦部就會影響意識,長在胃部就會腹痛及出血等。而長得比較快的淋巴癌,還會造成發燒、出汗及體重減輕等所謂的B症狀(B symptom),B症狀不是淋巴癌所特有,只要是長得夠快的腫瘤就會有這樣的表現。


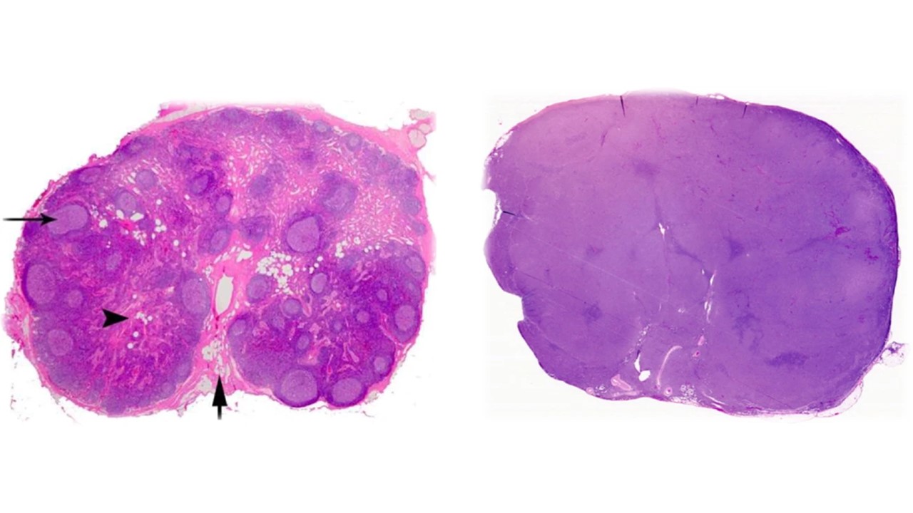
如前述,淋巴癌分類相當複雜,所以診斷上就需要相當的小心,盡量取得較大較完整的檢體供病理科醫師診斷,而避免細針穿刺的小檢體,病理科醫師根據整個組織的結構變化及做許多的特殊染色來得到正確的診斷。瀰漫性大B細胞淋巴癌在病理上的特徵如名字所示,【瀰漫性】是指淋巴結內的濾泡結構已破壞,整個淋巴結瀰漫著淋巴癌細胞;大細胞通常比小細胞長得比較快:所以此型的淋巴癌臨床上較具侵襲性(aggressive)。




圖一、左側正常淋巴結可見一圈一圈的濾泡,右側為瀰漫性大B細胞淋巴癌,已失去正常淋巴結的結構

圖片來源 Blood Cancer J. 10, 123 (2020)

https://www.nature.com/articles/s41408-020-00389-w/figures/1


淋巴癌雖然很多種,但分期只有一種,稱為Ann Arbor或是Lugano Staging System,第一二期是只在橫膈膜的單側,第三期是影響了橫膈膜雙側的淋巴結或器官,而第四期則是有吃到重要器官,如肝、骨髓、肺部等。分期的工具包括了電腦斷層及正子攝影等。但要強調的是,淋巴癌的分期不像固態腫瘤那麼重要,並不是第四期就沒有機會康復,有部分病人還是可以經過治療痊癒的。




圖二、分期示意圖

圖片來源 Leukemia & Lymphoma Society

https://www.lls.org/sites/default/files/2022-11/NHL%20Staging%20Image.PNG


在瀰漫性大B細胞淋巴癌,有個重要的預後指標稱為R-IPI(Revised International Prognostic index),這個指標包含了五個元素,每個元素一分,年齡大於60歲、分期第三或第四期、體能狀態ECOG大於等於2分、非淋巴結部位大於等於2處、血中的乳酸脫氫酶LDH大於正常值。R-IPI 0分,預後極好,4年的存活率達到94%;R-IPI 1-2分,預後佳,4年的存活率有79%;R-IPI 3-5分,則預後較不好,4年的存活率為55%。另外其實還有一個臨床指標是對於治療的早期反應,若是接受第一次化療,腫瘤很快就消失,通常也代表著較好的預後。




圖三、R-IPI的存活曲線圖

圖片來源 Blood 2007;109:1857-61. 


再來要講到治療,瀰漫性大B細胞淋巴癌的主要治療方式為標靶加化療,即所謂的R-CHOP,R是指「莫須瘤」這個注射的單株抗體,可以針對B細胞上的CD20來攻擊,CHOP是包含類固醇在內的四個化療藥;效果上來說,使用R-CHOP當作第一線的治療,有超過80%的病人可以看到明顯的腫瘤變小,若不分期別或預後指標,整體來說有近五成的人可以痊癒(即終身不再發病)。


R-CHOP治療的常見副作用包括掉髮、末梢神經麻痺及血球下降等,其他少見的副作用有抵抗力下降導致各式的感染或病毒活化,如皮蛇(帶狀皰疹)、B肝活化、肺囊蟲肺炎等都有機會發生,可以考慮使用一些藥物做預防性的使用。


若是不幸發生復發,應考慮再次切片,確定還是CD20陽性的瀰漫性大B細胞淋巴癌。偶而會遇到後來發生第二種癌症或是淋巴癌CD20消失的狀況,就會有不同的考量。若診斷復發,治療上的想法是,第一、給予二線的化療並收集幹細胞,第二、評估療效,若化療有效且有收到足夠的幹細胞就進行高劑量的化療暨自體幹細胞移植。經過這樣的治療又可以一部分的病人會得到緩解。如圖四。




圖四、瀰漫性大B細胞淋巴癌診斷與治療流程圖


當然臨床上考量的因素眾多,每個人的狀況也都有差異,還是需要與您的醫師多多討論,取得一個最適合您的治療方案。


#本篇文章同步發表於2023年5月出刊的義大醫療醫訊


希望基金會淋巴癌手冊下載

https://www.ecancer.org.tw/CustomizationPage6.aspx?CustID=11&UnitID=10092&SearchMsg=%E6%B7%8B#prettyPhoto[inline2]/0/

2023年3月18日 星期六

淋巴瘤的分類介紹及ChatGPT的使用心得

 
作者:裴松南利用ChatGPT3.5輔助
日期:2023/3/18

淋巴瘤是一種常見的血液系統腫瘤,通常由淋巴組織細胞在體內不斷生長形成。根據台灣2019年的癌登資料,當年度的淋巴瘤發生個案數為3161人,其中194人是何杰金氏淋巴瘤(約6%),非何杰則為2967人(約94%)。

根據病理分類的角度,淋巴瘤主要分為何杰金氏和非何杰金氏兩大類。一般而言,何杰金氏的預後較好,有較高的治癒機會;而非何杰金氏則因種類繁多,預後有很大的差異。

在非何杰金氏淋巴瘤中,根據癌化淋巴細胞的源頭,可再分為B細胞、T細胞和NK細胞淋巴瘤三種類型。其中,瀰漫大B淋巴瘤、濾泡型淋巴瘤、邊緣區淋巴瘤等是B細胞淋巴瘤中比較常見的次分類。T細胞和NK細胞淋巴瘤則是由T細胞和NK細胞生長形成的腫瘤,通常比B細胞淋巴瘤更罕見,預後通常也較不好。

疾病進程是另一個常用的淋巴瘤分類方法,它可以將淋巴瘤進一步分為高分化(high grade)和低分化(low grade)兩大類。高分化淋巴瘤指的是生長速度較快、細胞異常程度較高的淋巴瘤,因其細胞分裂較快速,往往表現出一些顯著的病理學特徵,如大細胞、高度異型等。這類淋巴瘤因生長快速,故需要積極且盡早的治療,其預後通常較差。其中瀰漫大B淋巴瘤就是一種高分化淋巴瘤,它是非何杰金氏淋巴瘤中最常見的亞型之一。

低分化淋巴瘤則是指生長速度較慢、細胞異常程度較低的淋巴瘤。這種淋巴瘤的細胞分裂和增殖速度較緩慢,預後通常較好,在治療上可以放慢速度甚至有些狀況可以不用治療。其中濾泡型淋巴瘤和邊緣區淋巴瘤就是低分化淋巴瘤的兩個常見亞型。

總之,淋巴瘤是一種非常複雜的疾病,可以從多個角度進行分類。病理分類和疾病進程是其中最常用的兩種分類方法,它們能夠幫助醫生更好地了解患者的病情,制定出更有效的治療方案。如果您懷疑自己患上了淋巴瘤,請務必及時就醫,接受適當的治療。




圖:淋巴瘤的病理分類及分布比例


使用ChatGPT心得


ChatGPT在2022年底問世後,改寫了人們對AI的想像,我遲至上個月才完成註冊,這周才有空來好好試試。我覺得你若給他好的outline,它形成一篇文章的速度很快,也比我一個字一個字key in要省下很多的腦力,但是它寫出來的風格當然就不是自己本來的表達習慣,也需要花一些力氣來做修正其錯誤。

我的文章是分兩次來寫,雖然是在同一個conversation內,但ChatGPT似乎不同天也有不同的表現,第二次再請他加入台灣癌登的資料,我也將癌登的數字餵給他了,但是就是沒辦法成功的將資料加到適合的地方,後來還是自己一個一個字寫。

AI的進步真的在ChatGPT橫空出世後,讓世人見證到其近乎無所不能的功力,而且OpenIAI在短短4個月內就推出新版本ChatGPT4.0。在這個無可抵禦的浪潮下,我們只能盡速的學會這些新工具,改良我們一些日常的工作效率,並在內心深深的希望人工智慧的進步不會帶來人類的毀滅。